Rivera 2937 esquina Pastoriza - Telefono 27071882

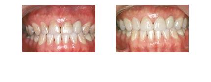
Carillas Dentales


Generalmente se usan para restaurar las piezas anteriores que están afectas en su integridad, alineación, color o forma.
Para el éxito de las carillas es necesario que la pieza tenga un tamaño relativamente normal, que tenga suficiente cantidad y espesor de esmalte, que el paciente tenga buena higiene oral y en lo posible evitar hábitos como el bruxismo, comerse las uñas, morder objetos etc.

Las Carillas de Porcelana requieren la toma de un molde que se envía al laboratorio donde se realizan las carillas; se deja un provisorio y en la siguiente cita se prueban y cementan. Para unir la carilla al diente se usan agentes cementantes adhesivos de Resinas o Vidrio Ionómero.

 


 

carillas_dentales

 


Inicio | Nosotros | Servicios | Clinica | Noticias | Contacto
arte bucal

ni