Rivera 2937 esquina Pastoriza - Telefono 27071882


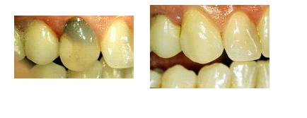
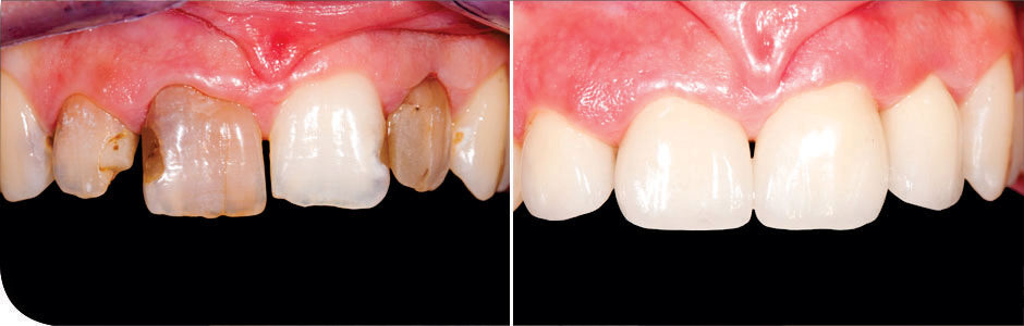
Coronas o fundas completas


Es el reemplazo completo en forma artificial de la corona del diente, es decir de la parte que vemos de cualquier pieza dentaria. Se realiza en diferentes materiales que se escogen dependiendo del diagnóstico y de los objetivos del tratamiento. Las coronas se indican cuando hay gran perdida de estructura dentaria, lo que imposibilita la retención de cualquier otra obturación o el riesgo de fractura del diente por el poco remanente dentario. Para su realización se evalúan ciertas condiciones dentales como la necesidad o no de tratamiento de conductos, necesidad de anclaje dentro del conducto dentario (pernos de fibra de vidrio) o necesidad de alguna cirugía previa en la encía.

 


fundas

 

 


Inicio | Nosotros | Servicios | Clinica | Noticias | Contacto
arte bucal

nis